樋口矯正歯科クリニックは、1970年、矯正歯科専門クリニックとして福岡市に開院しました。
以来、福岡県内はもとより西日本一円、海外からも多くの患者さんに通院して頂いております。
開院40年、区切りの年である2010年には累計新患者数10,000名を達成しました。
この信頼に応えるべくスタッフ一同、患者さんのことを家族と思い診療にあたっております。

矯正歯科専門ORTHODONTIC EXPERT全ての治療は矯正治療経験30年以上の院長が担当
カウンセリング、治療方針の決定、定期メンテナンスに至るまで、全ての治療は矯正治療経験30年以上の院長が担当します。

矯正治療装置別の
メリット・デメリットMERIT
歯列矯正治療には幾種かの装置があります。
装置別のメリット、デメリットを認識し治療に望むことは治療の第一歩であり、それは治療の成果に大きく影響します。
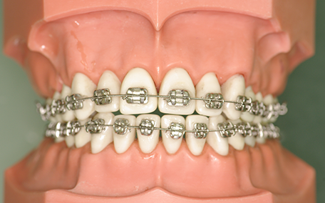
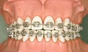
- メタルブラケット装置

メリット
- ・装置自体が金属性で強度が高いので小さく出来ている為、違和感が少なく口内炎もできにくい。
- ・強度が高いので壊れたり、外れたりし難いので治療期間が長引く可能性が少ない。
- ・装置とワイヤーが金属同士なので滑りが良く歯が動きやすいので治療期間が短く出来る。
- ・強度が高いので強い力をかけても壊れにくい為強い力で正確に歯をコントロールでき、より良い治療結果を得る事ができる。
デメリット
- ・装置が目立つ
- 見えにくい矯正装置
(セラミック、ブラスチックブラケット) 
メリット
- ・装置が目立たない。
デメリット
- ・装置とワイヤーの摩擦抵抗が大きい(滑りが悪い)ので歯が動きにくく、治療期間が長くなる。
- ・装置がセラミックやプラスチックなので金属製に比べ強度が低いので、壊れにくくする為に装置が大きく、違和感が強く口内炎もできやすい。
- ・大きく頑丈に作られていてもやはり強度が低いので装置が割れたり、外れたりする。その度に装置をつけ直す事になり、治療期間が長くなり易い。
- ・装置が壊れやすいので強い力をかける事が難しく、正確に歯をコントロールして良い治療結果得るのが難しい。
- 裏側からの矯正装置
(リンガルブラケット装置) 
メリット
- ・装置が見えない。
デメリット
- ・構造的に装置と装置の間隔が狭い為ワイヤーの弾力を利用しにくいので歯を並べるのに時間がかかり、治療期間が長くなる。
- ・舌を動かしにくいので、正しい発音が出来ない。
- ・装置が舌に当たり舌に口内炎ができ易いので、食事に苦労する。
- ・歯みがきがしにくく、歯周病になりやすい。
- ・装置が裏側になるのでゴムやヘッドギアなどが使いにくいため、良い治療結果を得る事が難しい。
- ・裏側に装置があるので治療操作がし難く、毎回の治療時間が長く必要になる。
- ・装置自体が高価なのと、治療時間が長くかかるので治療費が高額になる。
- マウスピース型矯正装置

メリット
- ・装置が目立たない。
デメリット
- ・日本矯正歯科学会の治療指針でも歯を抜いての矯正治療には推奨されていないように、治療効果に限界がある。
- ・歴史的に見ても同様な装置はいくつもありましたが、いずれも治療効果が低い為に時間の経過とともに使用されなくなっている。
- ・完成物薬機法対象外の矯正歯科装置であり、承認薬品を対象とする医薬品副作用被害救済制度の対象外となる場合がある。
矯正治療装置別の
平均治療期間と平均治療費AVERAGE
矯正治療装置によって治療期間と治療療費は異なります。
以下は月1回程度のメンテナンス通院と3~4カ月に1回程度の観察を行った場合の平均治療期間と治療費の総額です。
口内、歯列の状態やメンテナンスの頻度によって異なる場合があります。
平均治療費総額には矯正施術料(装置による治療費)及び平均治療期間における処置料が含まれております。
| 装置名 | 抜歯あり/なし | 平均治療期間※1 | 平均治療費総額(税別)※2 |
|---|---|---|---|
|
メタルブラケット装置
|
なし | 12ヶ月 | 630,000円 |
| あり | 24ヶ月 | 690,000円 | |
|
見えにくい矯正装置(セラミック)
|
なし | 15ヶ月 | 695,000円 |
| あり | 30ヶ月 | 770,000円 | |
|
裏側からの矯正装置
|
なし | 18ヶ月 | 810,000円 |
| あり | 48ヶ月 | 900,000円 | |
|
子供の矯正(乳歯がある時期)
|
- | 3~6ヶ月 | 100,000円 |
- ※1.月1回程度のメンテナンス通院と3~4カ月に1回程度の観察を行った場合のものになります。
- ※1.口内、歯列の状態やメンテナンスの頻度によって異なる場合があります。
- ※2.平均治療費総額には矯正施術料(装置による治療費)及び平均治療期間における処置料が含まれております。
それぞれの費用詳細については治療費ページをご参照ください。

| 診療時間 | 月 | 火 | 水 | 木 | 金 | 土 | 日 | 祝祭日 |
|---|---|---|---|---|---|---|---|---|
| 午前 | 休 | 09:00~ 13:00 |
09:00~ 13:00 |
休 | 09:00~ 13:00 |
09:00~ 13:00 |
09:00~ 13:00 |
09:00~ 13:00 |
| 午後 | 14:00~ 17:00 |
14:00~ 17:00 |
14:00~ 17:00 |
14:00~ 17:00 |
14:00~ 17:00 |
14:00~ 17:00 |
※休診日 毎週月、木曜日、第4・5日曜日
最新の診療日情報については「診療日カレンダー」をご参照ください。





























